Smile Gallery: Cosmetic Dentistry
We offer a number of cosmetic services to give you the smile you've always dreamed of! Browse some of our smile makeovers here:
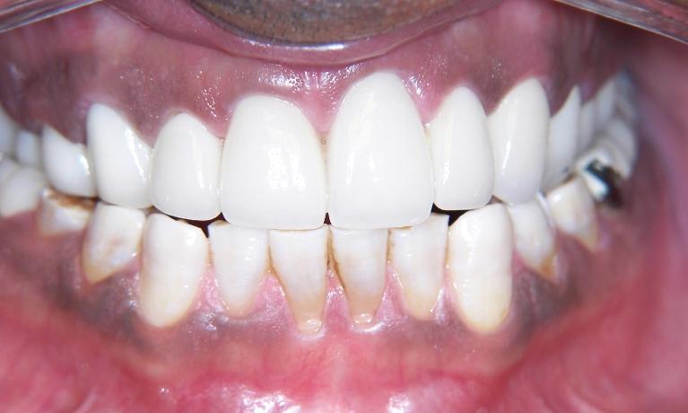
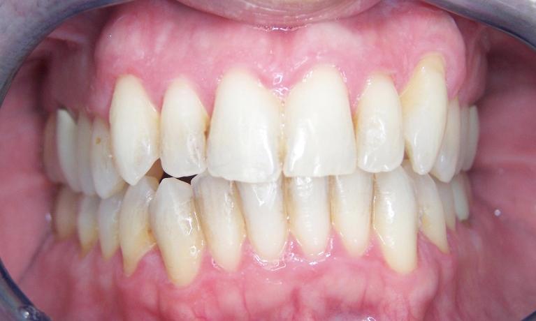
This gentleman came into the office after many years of not visiting the dentist. We restored his smile! Call our office in Gaithersburg to schedule your smile makeover appointment.
This patient came in because a front tooth filling fell out and looked unsightly. We removed the decay and did a layered resin/composite filling so it's not visible.
If you thought braces were just for kids, think again! With more options to straighten crooked teeth than ever before, more and more adults are turning to treatments like Invisalign to get straighter teeth later in life.
Clear Braces For Adults
Invisalign clear braces allow adults to straighten their teeth without having to wear bulky, obvious metal braces.
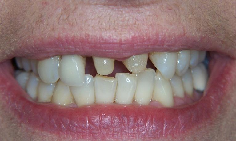
This patient's "before" photo shows their crooked, misaligned teeth and the gaps between the top and bottom rows of their smile. However, by using adult braces, we pulled their teeth into alignment and produced a straighter, healthier smile.
Invisalign for Your Professional Life
Clear braces allow ...
Patient was unhappy with his smile and the spaces between his teeth. Invisalign helped him to smile more confidently.
The gentleman came in with broken teeth. We did Invisalign therapy to close the space and idealize it for tooth replacement. We were able to use a single implant to support the two missing teeth and give him something to smile about.
This young man was unhappy with his smile. We did Invisalign Orthodontics to straighten his teeth.
The young lady lost her front tooth in an accident. We made a Zirconia (non-metallic) bridge to fill in the gap, along with tooth whitening for a more esthetic end result.
She was unhappy with her smile. The two crowns were over 15 years old, and she wanted them replaced. For better aesthetics and a harmonious smile, we did non-metallic crowns on four front teeth.
Patient had missing teeth and wore a partial denture for many years. We whitened her teeth, and then replaced the missing teeth with a fixed bridge.
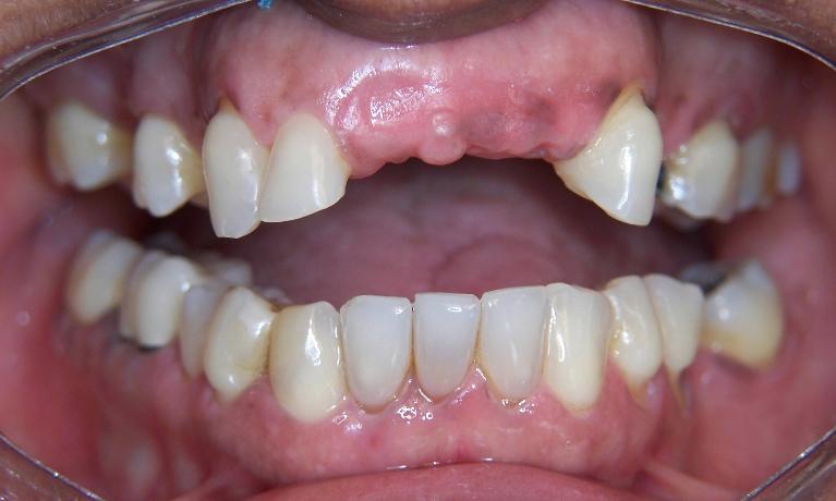
Your front teeth are arguably the most important part of your smile, which means you need the very best tooth replacement options available if anything ever happens to them.
Replacing Missing Front Teeth
The young lady in these photos lost her top front teeth, so we got to work helping her repair her mouth and create a beautiful smile she could once again feel proud of.
Invisalign clear braces came to the rescue during the first step of her treatment, where we closed the gap between some of the teeth. Once Invisalign was complete, we then relied on a dental implant ...
Old filling and tooth broke as an emergency. Tooth was restored with an Esthetic non metallic Crown.
Even when you're extremely cautious about your oral health, dental emergencies can still happen and leave you in need of restorative dentistry. Luckily, your Gaithersburg dentist can usually repair an injured tooth and send you on your way in no time!
Fixing a Broken Tooth
In these photos, this young boy had broken his front tooth playing soccer. Although it may look like his tooth was broken beyond repair, we made the tooth whole again, and he left smiling!
To fix broken teeth, we use a combination of tooth-colored fillings and dental bonding. Sturdy materials like composite dental resin help us mimic ...
This patient was unhappy with the dark line visible when he smiled. The old metal crown was replaced with a non-metallic crown and now he smiles big.