Lakeforest Dental Associates
Dr. Neil Daftary and Dr. Robert Zaner

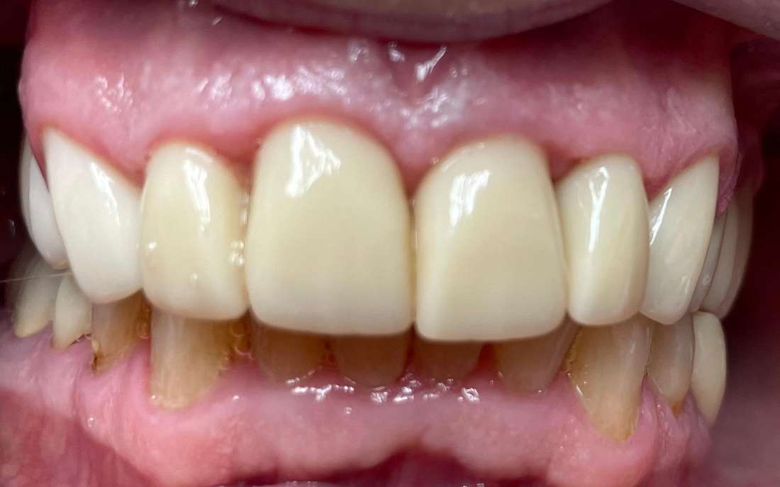
Smile Restoration

This gentleman came into the office after many years of not visiting the dentist. We restored his smile! Call our office in Gaithersburg to schedule your smile makeover appointment.  

Related Services:

Cosmetic Dentistry
Longtime, Happy Patient Testimonial | Lakeforest Dental Associates
Ready to Book an Appointment?
If you have difficulty using our website, please email us or call us at (301) 330-8787
View the ADA Accessibility Statement