Lakeforest Dental Associates
Dr. Neil Daftary and Dr. Robert Zaner

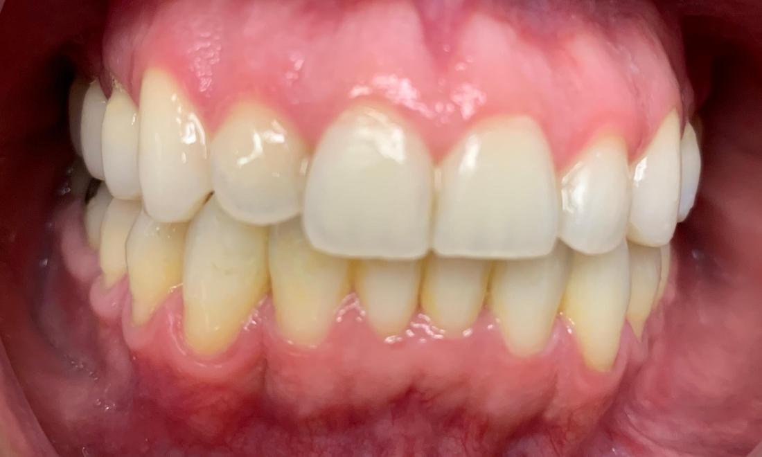
Using Invisalign or Clear Braces, we made a big difference to this smile!

If you thought braces were just for kids, think again! With more options to straighten crooked teeth than ever before, more and more adults are turning to treatments like Invisalign to get straighter teeth later in life. 

Clear Braces For Adults

Invisalign clear braces allow adults to straighten their teeth without having to wear bulky, obvious metal braces.

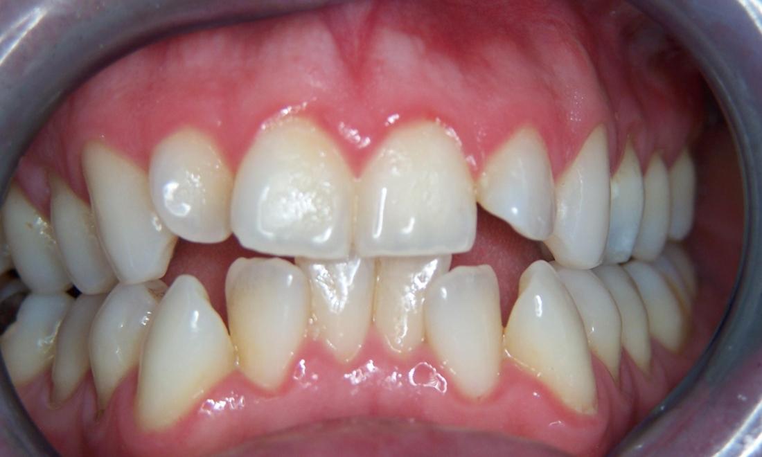
This patient's "before" photo shows their crooked, misaligned teeth and the gaps between the top and bottom rows of their smile. However, by using adult braces, we pulled their teeth into alignment and produced a straighter, healthier smile. 

Invisalign for Your Professional Life

Clear braces allow you to achieve a straighter smile while still maintaining a sleek, professional appearance. Invisalign can help you close gaps in your smile and move teeth into proper alignment, making them easier to clean and keep cavity-free. 

To learn more about this process, please contact our Observatory Heights dentists today! 

Patient Invisalign Testimonial | Lakeforest Dental Associates
Ready to Book an Appointment?
If you have difficulty using our website, please email us or call us at (301) 330-8787
View the ADA Accessibility Statement