Lakeforest Dental Associates
Dr. Neil Daftary and Dr. Robert Zaner

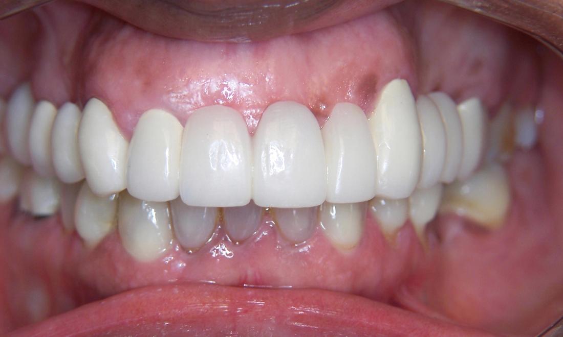
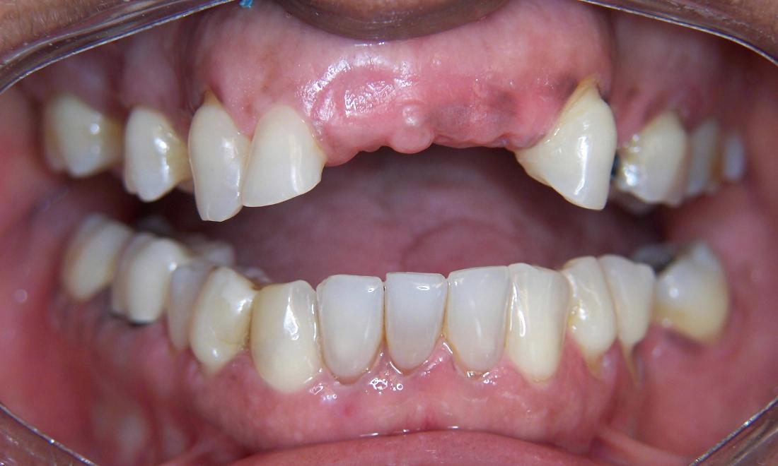
Fixed Bridge in Gaithersburg, MD

Patient had missing teeth and wore a partial denture for many years. We whitened her teeth, and then replaced the missing teeth with a fixed bridge.

Lifelong, Happy Patient | Lakeforest Dental Associates

"I've been seeing Dr. Zaner pretty much all of my adult life (since 1988!). Rob is the nicest guy with a great sense of humor. His work on my teeth has been excellent -- 3 crowns (all very needed) and a number of new/replaced fillings over the years. He's got a great sense, too, for when a pain blocker is needed and when it's not -- some of my fillings didn't need any shots. The office is very well run, the staff is always friendly and helpful. I highly recommend their Lakeforest Dental practice!" - Jack G.

Ready to Book an Appointment?
If you have difficulty using our website, please email us or call us at (301) 330-8787
View the ADA Accessibility Statement