Lakeforest Dental Associates
Dr. Neil Daftary and Dr. Robert Zaner

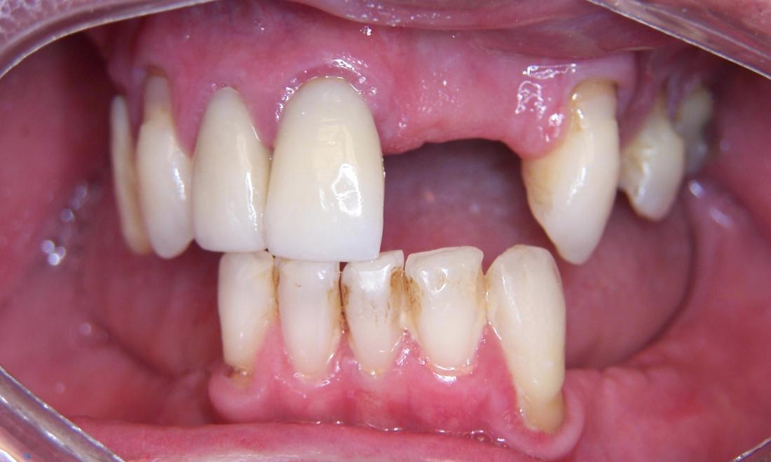
Upper and Lower Partials in Gaithersburg, MD

Patient had missing teeth and unsightly partial dentures with metal clasps for many years. His grand children pointed it out to him. We made new partial dentures with no visible clasps. He loves his new smile, as do his grand children too!

We Love Welcoming New Patients and Their Families
If you have difficulty using our website, please email us or call us at (301) 330-8787
Privacy Policy