Lakeforest Dental Associates
Dr. Neil Daftary and Dr. Robert Zaner

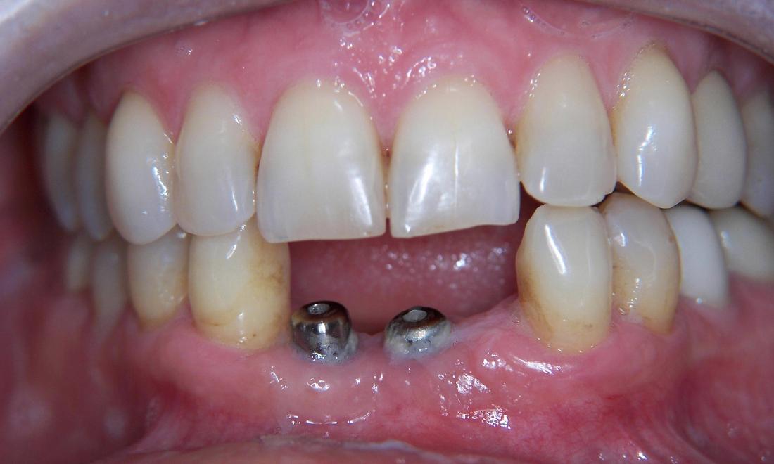
Implants To Replace Missing Lower Teeth

If you ever lose a natural tooth, you'll want to replace it with something strong, sturdy, and reliable. At Lakeforest Dental Associates, we believe dental implants are the best of the best for tooth replacement options. 

Dental Implants Restore Smiles

As you can see from these photos, this patient lost her lower front teeth. Missing teeth that are left unreplaced can eventually damage the rest of the smile, so our dental office wanted to help this patient fill the gaps with an excellent artificial option. 

The titanium dental implant roots, which you can see in the patient's gums in the photo on the left side, go deep beneath the surface and permanently integrate with the existing jawbone. Our Washington Grove dentist helped the patient regain her confidence and her smile's full functionality with strong dental implants. 

We Place Dental Implants

Do you have missing teeth that negatively impact your quality of life? Don't hesitate to give us a call to schedule an initial consultation for dental implants if you'd like to learn more!

Related Services:

Dental Implants
Longtime, Happy Patient Testimonial | Lakeforest Dental Associates
Ready to Book an Appointment?
If you have difficulty using our website, please email us or call us at (301) 330-8787
View the ADA Accessibility Statement