Lakeforest Dental Associates
Dr. Neil Daftary and Dr. Robert Zaner

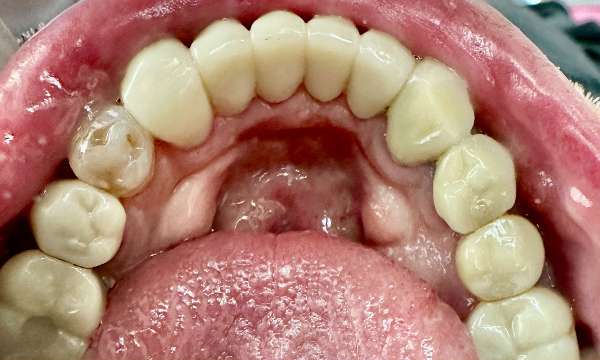
Fixing Broken Teeth

This patient came to us with broken teeth. Dental crowns gave them a more aesthetic appearance and improved their oral health. 

Related Services:

Crowns & Bridges
Have Questions? Get in Touch
If you have difficulty using our website, please email us or call us at (301) 330-8787
Privacy Policy