Lakeforest Dental Associates
Dr. Neil Daftary and Dr. Robert Zaner

Dental Implants

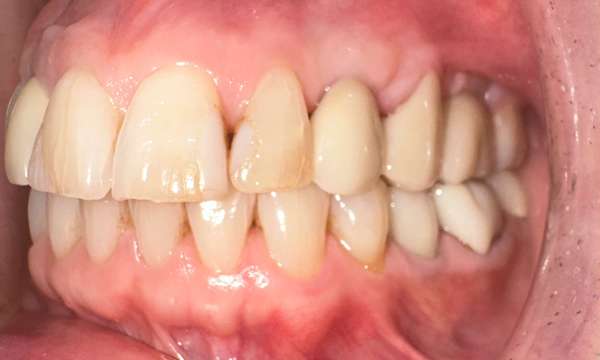
We replaced the missing teeth for this patient using implants and dental crowns for a pleasing aesthetic result. 

Related Services:

Dental Implants
Crowns & Bridges
Ready to Book an Appointment?
If you have difficulty using our website, please email us or call us at (301) 330-8787
Privacy Policy