Lakeforest Dental Associates
Dr. Neil Daftary and Dr. Robert Zaner

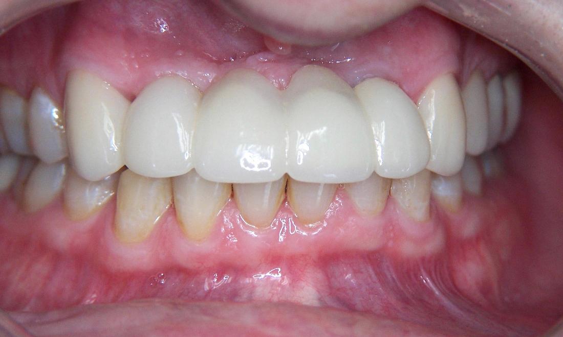
Bridge and Implants in Gaithersburg, MD

He had an existing old bridge that had to be replaced. An Implant supported bridge was used to replace the missing teeth, and 2 crowns were also done to harmonize the smile.

Ready to Book an Appointment?
If you have difficulty using our website, please email us or call us at (301) 330-8787
Privacy Policy